Главная    Реклама  

  MedLinks.ru - Вся медицина в Интернет

Поиск   
  
     
 

Основные разделы

· Разделы медицины
· Библиотека
· Книги и руководства
· Рефераты
· Доски объявлений
· Психологические тесты
· Мнение МедРунета
· Биржа труда
· Почтовые рассылки
· Популярное

· Медицинские сайты
· Зарубежная медицина
· Реестр специалистов
· Медучреждения

· Новости медицины
· Новости сервера
· Пресс-релизы
· Медицинские события

· Быстрый поиск
· Расширенный поиск

· Вопросы доктору
· Гостевая книга
· Чат

· Рекламные услуги
· Публикации
· Экспорт информации
· Для медицинских сайтов


Объявления
 

Статистика


 Медицинская библиотека / Раздел "Книги и руководства"

 Диагностика

Медицинская библиотека / Раздел "Книги и руководства" / Желчный рефлюкс: современные теория и практика / Диагностика
Оставить комментарий получить код Версия для печати Отправить ссылку другу Оценить материал
Коды ссылок на публикацию

Постоянная ссылка:


BB код для форумов:


HTML код:

Данная информация предназначена для специалистов в области здравоохранения и фармацевтики. Пациенты не должны использовать эту информацию в качестве медицинских советов или рекомендаций.

Cлов в этом тексте - 2274; прочтений - 2014
Размер шрифта: 12px | 16px | 20px

Диагностика

Эндоскопические изменения, которые выявляются при рефлюкс-гастрите, представлены в таблице 1 и на рис. 4-8.

Наиболее характерные гистологические изменения при рефлюкс-гастрите приведены в таблице 2 и на рис. 9-14.

Таблица 1. Эндоскопические проявления рефлюкс-гастрита (по С. С. Vere et al., 2005 [56])

Эндоскопические признаки Частота,%
Гиперемия слизистой желудка

64,43

Наличие желчи в желудке

57,83

Утолщение складок слизистой

9,55

Эрозии

5,22

Атрофия слизистой

5,22

Петехии

2,17

Кишечная метаплазия

0,43

Полипы в желудке

0,43

Рис. 4. Рефлюкс-гастрит после резекции желудка по Бильрот II (по С. С. Vereetal., 2005 [56])

Рис. 4. Рефлюкс-гастрит после резекции желудка по Бильрот II (по С. С. Vereetal., 2005 [56])

Рис. 5. Рефлюкс-гастрит после резекции желудка по Бильрот I (по С. С. Vere et al., 2005 [56])

Рис. 5. Рефлюкс-гастрит после резекции желудка по Бильрот I (по С. С. Vere et al., 2005 [56])

Рис. 6. Рефлюкс-гастрит после наложения холедоходуоденоанастомоза (по С. С. Vere et al., 2005 [56])

Рис. 6. Рефлюкс-гастрит после наложения холедоходуоденоанастомоза (по С. С. Vere et al., 2005 [56])

Рис. 7. Слизистая желудка гиперемирована, застойная, имбибирована желчью (по В. Й. Кімакович із співавт., 2003 [16])

Рис. 7. Слизистая желудка гиперемирована, застойная, имбибирована желчью (по В. Й. Кімакович із співавт., 2003 [16])

Рис. 8. Рефлюкс-гастрит после резекции желудка по Бильрот II. Слизистая культи желудка ярко-красная, легко ранима при контакте (по В. Й. Кімакович із співавт., 2003 [16])

Рис. 8. Рефлюкс-гастрит после резекции желудка по Бильрот II. Слизистая культи желудка ярко-красная, легко ранима при контакте (по В. Й. Кімакович із співавт., 2003 [16])


 

Таблица 2. Гистологические изменения слизистой желудка при рефлюкс-гастрите (по С. С. Vere et al., 2005 [56])

Гистологические изменения Частота,%
Хроническое воспаление 84,06
Фовеолярная гиперплазия 40,44
Кишечная метаплазия 34,83
Острое воспаление 16,08
Инфекция Нр 16,08
Хронический атрофический гастрит 13,46
Полипы 13,46
Дисплазия 11,23
Доброкачественное изъязвление 7,86
Отек 6,74
Неоплазия 2,24

 

Рис. 9. Хронический атрофический гастрит. Минимальное интерстициальное воспаление и перигландулярный фиброз (по С. С. Vere et al., 2005 [56])

Рис. 9. Хронический атрофический гастрит. Минимальное интерстициальное воспаление и перигландулярный фиброз (по С. С. Vere et al., 2005 [56])

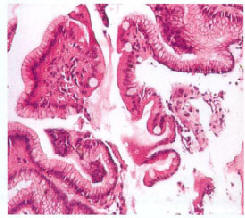
Рис. 10. Кишечная метаплазия. Обширные области кишечной метаплазии с выраженным воспалением (по С. С. Vere et al., 2005 [56])

Рис. 10. Кишечная метаплазия. Обширные области кишечной метаплазии с выраженным воспалением (по С. С. Vere et al., 2005 [56])

Рис. 11. Кишечная метаплазия (ограниченные области) (по С. С. Vere et al., 2005 [56])

Рис. 11. Кишечная метаплазия (ограниченные области) (по С. С. Vere et al., 2005 [56])

Рис. 12. Изолированная метаплазия железистого эпителия (по С. С. Vere et al., 2005 [56])

Рис. 12. Изолированная метаплазия железистого эпителия (по С. С. Vere et al., 2005 [56])

Рис. 13. Изолированная метаплазия железистого эпителия и низкая степень воспаления в lamina propria (по С. С. Vere et al., 2005 [56])

Рис. 13. Изолированная метаплазия железистого эпителия и низкая степень воспаления в lamina propria (по С. С. Vere et al., 2005 [56])

Рис. 14. Воспаление и метаплазия железистого эпителия (по С. С. Vere et al., 2005 [56])
 
Рис. 14. Воспаление и метаплазия железистого эпителия (по С. С. Vere et al., 2005 [56])

О. Я. Бабак подтверждает, что для рефлюкс-гастрита типичны фовеолярная гиперплазия и отек слизистой, а также отмечает пролиферацию гладкомышечных клеток в собственные пластинки на фоне умеренного воспаления. Фовеолярную гиперплазию определяют как экспансию слизистых клеток. При рефлюкс-гастрите она охватывает исключительно поверхностный эпителий и этим отличается от гастрита типа В (хеликобактерного), для которого характерна гиперплазия не только поверхностного, а и ямочного эпителия слизистой оболочки желудка. Эпителий становится резко уплощенным, базофильным, насыщенным РНК и почти не содержащим слизи. В клетках эпителия отмечаются грубая вакуолизация цитоплазмы, пикноз ядер, некробиоз и некроз, который считается началом образования эрозий. Со временем нарастают атрофические изменения, сопровождающиеся прогрессированием пролиферативных процессов и развитием дисплазии различной степени выраженности, что увеличивает риск малигнизации [2, 4, 36].

Выраженность изменений слизистой желудка обычно не соответствует степени ее колонизации Нр. Предложена формула для оценки этих морфологических изменений - индекс билиарного рефлюкса (BRI), который равен: (7 х отек собственной пластинки слизистой оболочки [в баллах]) + (3 х кишечная метаплазия) + (4 х хроническое воспаление) - (6 х Helicobacter pylori). При BRI>14 с чувствительностью 70% и специфичностью 85% рефлюкс желчи превышает 1 ммоль/л [25, 45].

Следует отметить, что такой эндоскопический признак, как наличие желчи в желудке, не всегда следует относить именно к рефлюкс-гастриту. Некоторые авторы справедливо, на наш взгляд, считают, что ДГР может быть спровоцирован самой процедурой эндоскопии [16, 56].

Что касается рефлюкс-эзофагита, то ДГЭР может приводить к развитию тяжелого эзофагита, метаплазии пищеводного эпителия и даже аденокарциномы, развивающейся на фоне последней [85, 86]. С. A. Gutschow et al. [64] также убедительно продемонстрировали роль ДГЭР в сочетании с кислым рефлюксом в патогенезе цилиндрической метаплазии пищеводного эпителия, пищевода Барретта и аденокарциномы пищевода. Интересно, что результаты экспериментального исследования, выполненного на гастрэктомированных крысах, свидетельствуют о доминировании не железистого, а плоскоклеточного рака пищевода на фоне ДГЭР [25, 88]. Пример эндоскопической картины при ДГЭР представлен на рис. 15.

Рис. 15. Выраженный ДГЭР. В пищеводе содержимое со значительной примесью желчи (по В. Й. Кімакович із співавт., 2003 [16])

Рис. 15. Выраженный ДГЭР. В пищеводе содержимое со значительной примесью желчи (по В. Й. Кімакович із співавт., 2003 [16])

Целый ряд авторов считает экспозицию дуоденального содержимого в пищеводе фактором развития пищевода Барретта и рака пищевода [55, 66, 75, 90]. С другой стороны, желчный рефлюкс присутствует у четверти больных [94], а по данным Е. В. Онучиной с соавт., - даже у 48,4% пациентов с пищеводом Барретта [29].

Представляет интерес исследование К. Н. Chen et al. [66], в котором экспериментальных животных разделили на четыре группы в зависимости от диеты: с низким содержанием растительных жиров, с низким содержанием животных жиров, с высоким содержанием растительных жиров и с высоким содержанием животных жиров. Вначале оценивали состав желчных кислот в желчи в каждой группе животных с помощью жидкостной хроматографии. Поскольку только потребление большого количества животных жиров вызывало изменения в составе желчных кислот, то затем были отобраны именно животные с таким питанием, а также для сравнения - животные с диетой с низким содержанием растительных жиров для проведения эзофагоеюностомии с целью моделирования желчного рефлюкса. Кроме того, сравнивали последующие морфологические изменения между группами животных в течение 30 недель после операции.

В группе животных с высоким содержанием животных жиров был отмечен значительно более высокий уровень формирования пищевода Барретта, чем в группе с низким содержанием растительных жиров. Заболеваемость аденокарциномой пищевода в группе с высоким содержанием животных жиров была также несколько выше, чем в группе с низким содержанием растительных жиров. Высокое содержание животных жиров в рационе привело к изменению состава желчных кислот и к увеличению концентрации конъюгатов таурина в желчи [66].

Пожалуй, основным методом диагностики ДГР и ДГЭР является суточная интрагастральная и внутрипищеводная рН-метрия. ДГР определяется как любое увеличение рН тела желудка выше 5, не связанное с приемом пищи. ДГР считают выраженным, если эпизоды рефлюксов превышают 10% времени мониторирования. О. А. Сторонова с соавт. представили примеры результатов рН-метрии при желчном рефлюксе. На рис. 16 представлена рН-метрическая кривая больной, которая обратилась с жалобами на изжогу, развившуюся через несколько месяцев после гастрэктомии. Больная самостоятельно принимала антисекреторные препараты (ингибиторы протонной помпы - ИПП) без видимого положительного эффекта. Причина была в том, что после гастрэктомии возникновение изжоги связано с желчным рефлюксом, что было подтверждено данными рН-граммы: рН в среднем составляет 8, что соответствует желчи (рН желчи: пузырная - 6,5-7,3, печеночная -7,5-8,2) и панкреатическому соку (его рН -7,5-9,0) [35].

Рис. 16. рН-грамма пациентки, перенесшей гастрэктомию (эзофагоеюноанастомоз) (по О. А. Стороновой с соавт., 2012 [35])

Рис. 16. рН-грамма пациентки, перенесшей гастрэктомию (эзофагоеюноанастомоз) (по О. А. Стороновой с соавт., 2012 [35])

На рис. 17 представлена рН-грамма пациента, который предъявлял жалобы на дискомфорт в эпигастрии, периодическую изжогу. При рН-метрии в теле желудка определяется нормацидность и продолжительные выраженные ДГР, особенно ночью и утром.

Рис. 17. рН-грамма тела желудка пациента с ДГР в ночные и утренние часы (по О. А. Стороновой с соавт., 2012 [35])

Рис. 17. рН-грамма тела желудка пациента с ДГР в ночные и утренние часы (по О. А. Стороновой с соавт., 2012 [35])

Некислотные рефлюксы являются одной из причин персистирования симптомов во время проведения антисекреторной терапии [59, 93]. При использовании для диагностики комбинации внутрипищеводных рН-метрии и билиметрии у больных с резистентностью к ИПП в 62% случаев найден или желчный, или смешанный (желчь+кислота) рефлюкс [101]. Как было сказано выше, желчный рефлюкс усиливает повреждения слизистой пищевода, связанные с кислотным рефлюксом и приводит к сохранению симптомов ДГЭР при лечении ИПП, т. е. даже в отсутствии кислоты в пищеводе [31, 58, 62].

В настоящее время для диагностики используют импеданс-рН-мониторирование, которое сделало возможным регистрацию всех эпизодов рефлюксов независимо от характера рефлюктата (газ, жидкость, смешанный рефлюктат) и от его рН. Это дало возможность дифференцировать кислотные (рН<4), слабокислотные (рН 4-7) и слабощелочные (рН>7) рефлюксы [31].

Следует допускать и то, что иногда неадекватная антисекреторная терапия увеличивает пропорцию слабокислотных рефлюксов среди общего количества рефлюксных эпизодов. Например, М. F. Vela et al. с помощью рН-импеданса у больных с рефрактерностью к дневной дозе ИПП продемонстрировали изменение характера рефлюксов до начала и во время терапии. Если до приема ИПП регистрировались преимущественно кислотные рефлюксы, то во время терапии - в основном слабокислотные, а количество рефлюксов не изменилось. То есть, ИПП, оказывая супрессивное воздействие на протонные помпы, трансформируют кислотные рефлюксы в некислотные [92]. Более чем 90% рефлюксных эпизодов, развивающихся во время проведения терапии ИПП, являются слабокислотными [31, 42]. Это подтверждено и в другом исследовании с использованием импеданс-рН-метрии. Показано, что 68 эпизодов изжоги у больных с резистентной к ИПП ГЭРБ связаны со слабокислотными рефлюксами [57]. При этом слабокислотные рефлюксы вызывают такие же жалобы (изжогу, регургитацию), как и кислотные рефлюксы [31, 92].

В настоящее время в клиническую практику внедряется новый метод фиброоптической спектрофотометрии, основанный на определении абсорбционного спектра билирубина («Bilitec 2000»). Этот метод предназначен именно для диагностики ДГР и ДГЭР [25].

Сочетание внутрипищеводной рН-метрии и автоматического исследования рефлюктата применяют для оценки профиля забрасываемых в пищевод желчных кислот в сопоставлении с рН. Продемонстрировано, что общая концентрация желчных кислот в пищеводе при эрозивном эзофагите составляет 124 ммоль/л, а при пищеводе Барретта и/или стриктуре - выше 200 ммоль/л, тогда как в контроле - 14 ммоль/л. У больных с ГЭРБ и пищеводом Барретта в 80% случаев обнаруживали смешанный рефлюктат, а при эрозивном эзофагите такой рефлюктат выявляли только в 40% случаев. Пул желчных кислот был в основном представлен холевой, таурохолевой и гликохолевой кислотами. При лечении ИПП соотношение неконъюгированные/конъюгированные желчные кислоты смещалось в пользу неконъюгированных [25, 78].

Реже для диагностики желчного рефлюкса применяют рентген-исследование, при котором выявляют регургитацию бария из ДПК в желудок. Еще реже применяют электрогастроеюнографию [4].




[ Оглавление книги | Главная страница раздела ]

 Поиск по медицинской библиотеке

Поиск
  

Искать в: Публикациях Комментариях Книгах и руководствах


Реклама

Мнение МедРунета
Как вы относитесь к обязательной вакцинации населения от коронавируса?

Поддерживаю для всех групп граждан
Поддерживаю, но только граждан из групп риска
Не поддерживаю, вакцинация должна быть добровольной
Затрудняюсь ответить



Результаты | Все опросы

Рассылки Medlinks.ru

Новости сервера
Мнение МедРунета



Правила использования и правовая информация | Рекламные услуги | Ваша страница | Обратная связь |

.

.


MedLinks.Ru - Медицина в Рунете версия 4.7.19. © Медицинский сайт MedLinks.ru 2000-2026. Все права защищены.
При использовании любых материалов сайта, включая фотографии и тексты, активная ссылка на www.medlinks.ru обязательна.